
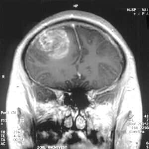
Glioblastoma is a type of brain cancer that is extremely hard to treat. People diagnosed with this condition usually survive for little more than a year.
But a new treatment developed at Duke Cancer Institute suggests that a tetanus/diptheria shot booster may improve the benefits from a vaccine therapy. The tetanus shot booster seems to prime the immune system and make it more responsive to immunotherapy.
In the pilot study, half the patients who got the tetanus shot survived from 51 to 101 months. Those in the control group had a median survival of not quite a year.
[Nature, online March 11, 2015]
Image Credited to Christaras A and licensed as Creative Commons Attribution-Share Alike 3.0 Unported